艾灸得气知多少,亲身体验才知道
患者,女,78岁,于2022年8月17日初诊,主诉腰痛伴左下肢放射痛间歇性加重5天。
患者自诉于5天前因长时间坐矮凳起身后忽感腰痛伴左下肢酸胀疼痛,步行或劳累后加重,平卧时疼痛可体位性减轻,起卧困难,肌肉僵硬,坐立难安,间歇性跛行。近2天上症不见好转,较之前加重,痛苦难耐,严重影响生活起居。
刻下症:神志清,精神差,跛行步态,由家属搀扶步入诊室。腰部及左下肢放射性疼痛明显,疼痛部位集中在左臀部、大腿后侧,左足背皮肤麻木。患侧肢体屈髋伸髋受限,起卧、翻身困难,难坐难立,不能行走,纳食一般,夜寐不安,大便秘结,小便正常。
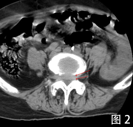
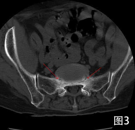
专科检查:2022-08-17 腰椎CT平扫检查阅片:腰椎椎体序列不稳定,椎管内可见增生钙化,继发椎管骨性狭窄。根据Meyerding分级, L4椎体向前I度滑脱,L5椎体向前II度滑脱,为连续2个节段的退行性滑脱(图1)。L3/4、L4/5、L5/S1椎间盘膨出,硬膜囊受压。L4、L5椎体小关节增生硬化明显,相应节段竖脊肌萎缩。椎间盘于相邻椎体层面以相反方向超出椎体边缘“夹心征”(图2)。L5椎体假关节形成(图3)。



中医诊断:腰痹 气滞血瘀证
西医诊断:1、腰椎滑脱(II度) 2、腰椎椎管狭窄 3、腰椎间盘突出症
中医治则:温通气血
热敏穴位探查:在腰痹病热敏穴位高发区发现腰阳关穴出现明显的透热、传热感应,自觉艾热透入腹腔,温暖舒适,传向患肢,小腿肌肉放松感,而腰阳关穴旁开区域均为局部表面热感。

赣公网安备 36010202000449号