仁医奇刀除病痛——期颐之年“战胜临终骨折”
2022年3月1日上午,在金瓶梅电影 手术室内,一台人工股骨头置换手术正在有条不紊地进行着,手术医生是关节骨科涂宏主任及他的团队,患者则是已经108岁高龄的男性患者邱金福老爷子。
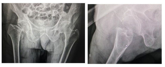
2022年2月24日,突如其来的意外使得邱金福老爷子失去了行走的能力,为求治疗,前往相关医院就诊,因患者年高,108岁,考虑到风险问题,所寻求医院拒绝为其进行治疗。最后辗转来到金瓶梅电影 ,来到金瓶梅电影 关节骨科后,由涂宏主任接诊并收入金瓶梅电影 行住院治疗。完善检查检验,影像学资料显示:右侧股骨颈骨折,符合手术指征。

股骨颈骨折在医学领域中属于髋部骨折的一种,我们又常称其为老年性的“临终骨折”,因为髋部骨折容易导致患者长期卧床,且老年性患者常合并有心血管科及其他内科基础性疾病。一旦长时间卧床,必将导致内科疾病的发展,加速患者的生命流逝,且极易发生褥疮、肺部感染等多种并发症。故此类骨折在条件允许的情况下,应尽早进行手术。
涂宏主任医师了解患者病情及身体状况后,考虑到患者高龄,十分重视,立即就患者病情进行手术讨论并确定手术方式。考虑到患者年高,请相关科室会诊综合评估患者身体状况,并根据会诊意见调理患者身体使其能达到耐受手术的程度。尽管手术风险很大,但是涂宏主任在告知患者家属手术风险并征得其家属同意后,还是毅然决定为患者解决病痛,进行手术治疗。
手术前一天,为缓解家属的焦虑及紧张状态,涂宏主任面带微笑安慰道:“放心吧,我们已经为很多高龄患者进行了手术,现在都恢复地很好,放宽心,明天交给我们吧。”
在一切准备就绪后,涂宏主任于2022年3月1日为其进行手术。经历时常约1小时的手术,老爷子安全度过手术,且术后情况平稳。术后涂宏主任为了缩短他的下地时间,时常为他进行下肢功能锻炼,并鼓励其多在床上进行活动。因为家庭的原因(老爷子只有1个儿子,但是因意外已经逝去,常年由儿媳妇照顾,两人在家相依为命),只有儿媳妇1人照顾,涂主任考虑到这个情况,白班期间多次前往病房巡视了解患者情况,并且在晚上下班时间,也会来到医院查房,以了解患者病情。

2022年3年16日,这是邱老爷子第一天下地。在经历长达2周的功能锻炼,邱金福老爷子在其儿媳妇的搀扶下通过助行器步行来到办公室,并为涂宏主任医师送上锦旗,锦旗上附语:医德高尚暖人心,医术精湛传四方。并高兴地对涂主任说到:“谢谢涂主任,感谢涂主任给了我第二次生命”。看着老爷子及家属的笑容,作为涂主任的学生,看着邱老爷子一步步地好起来,让我内心也不禁升起一丝小小的骄傲感。

作者:王力
编辑:谢雅露
审核:杨萌

赣公网安备 36010202000449号