金瓶梅电影 创伤骨科团队完成省内首例胫骨远端髓内钉手术
近日,金瓶梅电影 创伤骨科医师团队成功完成了一例右胫骨远端开放性骨折闭合复位逆行倒打髓内钉内固定(DTN)手术,该手术是江西省内第一台胫骨逆行髓内钉手术,具有突破性意义。相比于传统手术方式,DTN具有手术创伤小,术中出血量少,切口小,手术时间短,内固定稳固,术后恢复快等优点,能迅速帮助患者减少病痛,快速进行康复。
患者胡某,男,58岁,因锐器切割致右下肢开放性损伤3小时入院。入院后诊断为:1.开放性胫骨下端骨折2.下肢神经的损伤3.下肢血管的损伤4.跟腱断裂5.下肢肌腱损伤。患者入院后立即急诊行右下肢清创术+胫神经缝合术+胫动脉缝合术+跟腱缝合术+胫骨远端克氏针临时固定术。术后3周后患者开放伤口处皮肤顺利愈合并拆线,拟进行二次手术对胫骨远端骨折进行终极固定。骨伤医院院长梁卫东及创伤骨科杨阳主任医师团队对该患者开展详细的病情讨论,并制定详细周密的手术计划及术后康复计划,同时在患者及其家属知情同意后,实施胫骨远端骨折逆行胫骨髓内钉内固定术,并取得成功。
胫骨远端骨折因其解剖结构的特殊性,容易出现软组织并发症。胫骨远端骨折可选用切开复位钢板固定、MIPPO钢板固定、胫骨顺行髓内钉固定、胫骨逆行髓内钉技术及外固定。其中切开复位及MIPPO技术手术切口较大,切口处缺乏软组织覆盖,容易出现切口感染。且钢板为偏心型固定,力学稳定性不如髓内钉的中心型固定。顺行髓内钉因骨折线位置较低远端锁钉把持力不足,同时有诱发膝前疼痛的可能。而胫骨逆行髓内钉技术作为国内逐渐发展起来的新技术,在处理胫骨远端骨折时具有软组织损伤小、复位及固定简易等优势,十分适合本患者。


术前三维CT


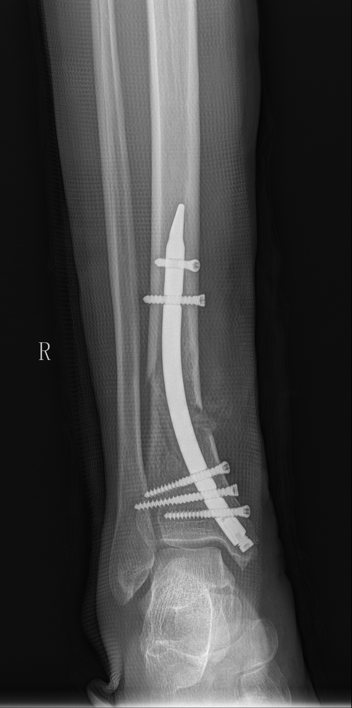
DTN术后复查右胫腓骨正侧位
什么是胫骨远端逆行髓内钉?
胫骨远端髓内钉作为一种新型的胫骨带锁髓内钉内固定系统,是髓内钉系统的新成员,可以弥补顺行髓内钉的不足,其主要适应症为闭合性和开放性胫骨远端骨折或小腿远端五分之一骨折和干骺端骨折(AO/OTA43.A1/A2和A3)。或者是胫骨远端骨折,简单涉及到踝关节(AO/OTA43.C1、C2)。胫骨远端逆行髓内钉操作简单,切口更小,对骨质造成的创伤小,降低了对软组织的激惹,可以缩短住院时间及康复时间,符合快速康复ERAS理念。该技术在江西的首次应用为创伤骨科在骨科微创治疗上再添利器。

西湖院区创伤骨科医师团队简介

梁卫东,男,江西省骨伤医院院长,主任中医师,教授,硕士研究生导师。
江西省中医骨伤(脊柱、关节、创伤、针刀整脊、骨与软组织肿瘤方向)医疗质量控制中心主任,江西省研究型医学会推拿学分会主任委员,江西省中医骨伤学会骨科专业委员会创伤医学专业组主任委员。
完成国家十二五课题一项,省部级课题两项,厅级课题多项,撰写SCI、核心、国家及省级论文三十余篇,完成国家发明专利一项。主编专著两部。
擅长治疗高难度骨盆髋臼及复杂肩、肘、膝关节骨折的手术治疗,颈肩腰腿痛的中医手法治疗。

杨阳,男,博士,副主任中医师,硕士研究生导师。
第六批全国名老中医药专家学术经验继承人,美国加州大学旧金山分校(USCF)访问学者。现为江西康复养生协会创伤康复专业委员会主任委员、中华医学会骨科分会创伤学组青年委员、中国骨科菁英会(COEC)创伤专业会员。
主持及参与省部级课题多项,发表高质量中文核心论文多篇,完成国家发明专利两项。
擅长骨盆髋臼骨折的经皮微创治疗,复杂四肢骨折及老年髋部骨折的微创治疗。

李旭,男,硕士,主治中医师
参与完成临床课题5项,其中包含国家自然科学基金课题2项,参与主编著作1部,发表学术论文10余篇。擅长微创闭合复位髓内钉内固定治疗股骨、胫骨、肱骨各部位骨折及肩、肘、膝关节复杂骨折手术治疗,运用外固定支架技术治疗开放性骨折、骨不连、骨缺损、骨折畸形愈合。

吴剑锋,男,硕士,主治中医师
参与国家自然科学基金项目2项,主持省级课题2项,发表论文数篇,获得专利1项,任江西省康复养生协会儿童骨科康复专业委员,江西省中医骨伤医疗质量控制中心委员,擅长四肢骨折微创治疗、骨折中医手法整复、颈肩腰腿痛保守治疗

夏自成,男,硕士,主治中医师
江西省中医骨伤医疗质控中心秘书、江西省中医药学会骨伤创伤学组委员、创伤康复专业委员会秘书。参与课题多项,发表论文数篇。擅长四肢骨折、开放性骨折手术治疗、骨折手法整复及夹板、石膏固定,中西医结合治疗骨髓炎,骨折不连接、颈肩腰腿痛、运动损伤、骨质疏松症等。

任辉,男,博士,中医师
江西省中医骨伤医疗质控中心委员、主持省市级课题两项,发表高质量中文核心论文两篇。擅长四肢骨折及老年髋部骨折手术治疗、颈肩腰腿痛手法保守治疗、骨髓炎、骨质疏松的保守治疗等。
供稿:骨伤三科
部门审核:梁卫东
二审:杨萌
三审:沈德森

赣公网安备 36010202000449号