热烈庆祝足踝骨科成立2周年
时光荏苒
转眼间足踝骨科以成立2周年
由襁褓初生到初露锋芒,所有医生心手相连,风雨同行,一路汗水,一路艰辛,一路付出,一路收获。这些日子里,有欢乐、有汗水、有艰辛,更有团结一心攻克医学难题的坚定信念。回首过往,细数一路走来的点点滴滴,骨伤五科所有医护人员脚步坚定而自信。
两年前的今天,江西省首个足踝专科在医院院领导的大力支持下独立开科,在刘峰主任的带领下,我们克服种种困难,一起努力、一起奋斗、团结协助,不断完善,收获了许多患友的真诚感谢。
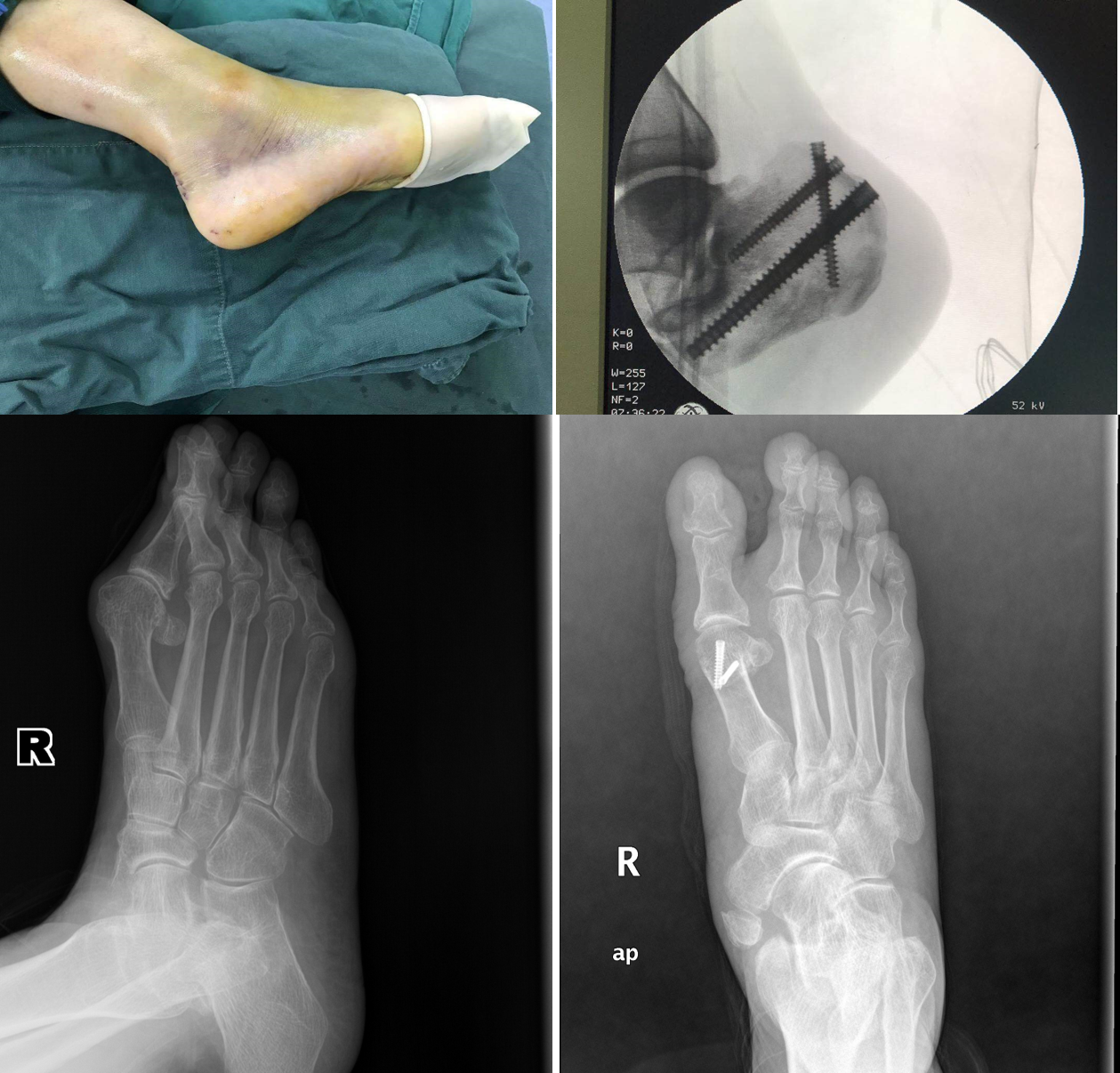
两年来共收治住院患者1200余人次,手术900余台次,积极利用医院提供的平台,为广大患者带来福音。在治疗各种足踝损伤及足踝畸形方面取得了不错的成绩。刘峰主任首创的撬拨复位全螺纹螺钉固定微创治疗跟骨骨折具有创伤小,恢复快,并发症少,住院时间短,费用低廉等优点,得到省内同行的好评,两年来共使用此手术方式治疗跟骨骨折百余例,并经常下到基层进行推广指导。本科室有着先进的足踝畸形矫正技术,两年来治疗了50余例足踝畸形,治疗经验丰富,主要有踇外翻的个性化中西医结合矫正治疗,扁平足、复杂马蹄高弓内翻足、踝关节炎等各种畸形的手术矫正治疗,创伤后畸形及功能重建治疗等。

5月29日为全球爱足日,为提高居民足踝保养康复意识,本科室共开展两次“我爱足”公益义诊活动,免费为广大病友诊治,普及足踝知识,进行康复指导,赢得了患者的信任和肯定。

面对生命,面对每个家庭中都是无限重要的生命,关键是要用心,用真情,下功夫,作好脚下的每一件事,作好每一件事的每一个环节。回首过往,我们一路风雨兼程,骨伤五科自建科伊始即努力向世界先进水平看齐,在省内率先创新、使用了多项新理念、新技术,多项技术处于江西省先进水平。科室成长的道路离不开医院领导的支持,离不开各职能科室的大力帮助,更离不开全科同志们的紧密协作。不忘初心方得始终,砥砺奋进逐梦前行。
一审:杨萌
二审:谢雅露
三审:沈德森

赣公网安备 36010202000449号